上海健康医学院来我司拍摄留学生宣传片并交流学习
来源:影为医疗 时间:2025-09-04
上海健康医学院来我司拍摄留学生宣传片并交流学习
近日,上海健康医学院来我司拍摄海外招生宣传短片。在上海健康医学院医学影像学院副教授吴励老师的带领下,在校学生及留学生参与了宣传片的拍摄并与影为工程师进行了交流学习。
为医疗技术部与生产部负责人对来访的学生表示热烈欢迎并陪同参观、拍摄。
以下是拍摄花絮和部分成片:
在宣传影片中,影为医疗工程师通过自主研发的计算机软件Medraw系统,将患者的二维平片转化为三维视图:
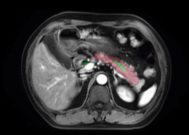
我们利用MRI增强序列显示胰腺及病灶边界,可以清晰看到胰腺的钩突、胰头、胰颈、胰体和胰尾。

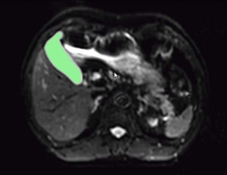
利用MRCP序列勾画胰胆管,显示肝内胆管、肝总管、胆囊、胆囊管、胆总管主胰管


图为工程师给健康医学院的学生们讲解案例并分享案例细节

上海健康医学院学生们参观了影为医疗医学3D打印设计与研发中心,并观摩学习了3D打印的全流程,他们对3D打印的精细化程度赞叹不已,对此次交流参观的收获予以了肯定,希望以后
够多一些和临床一线密切接触的机会。

3D打印及模型后处理

图:模型展示
影为医疗将继续深化与高校的学术合作与交流学习,为培养优秀的医疗从业者贡献自己的一份力量。
