放疗勾画工作站是全中文的临床放疗靶区勾画软件
提供多种勾画工具,可进行自动勾画和手动勾画,支持多模态影像配准和结构三维重建,帮助医生更高效的进行靶区勾画。
产品特点
高效
可在病区任一终端勾画,缓解勾画资源紧张
兼容
兼容Pinnacle、Eclipse、Monaco、Xio、拓能TPS等主流TPS
便捷
与主流TPS一致的勾画习惯
丰富的勾画工具,支持快捷键操作
支持体表、肺部、脊髓、脑部和隔层等多种自动勾画
规范
支持结构模板,规范结构命名
配准
支持多模态图像配准融合勾画
产品功能
自动勾画
支持体表、肺部、脊髓、全脑和眼球的一键自动勾画,支持隔层勾画
手动勾画
提供画笔、画刷、魔术刷和橡皮擦工具,支持勾画轮廓线推荐、融合配准后勾画
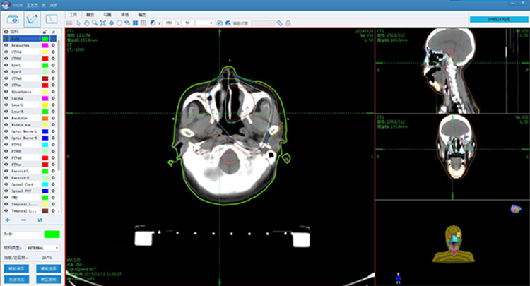
靶区查看
兼容DICOM3标准,支持结构轮廓三维查看,支持线条模式和色块模式,可进行靶区切换
勾画模板
支持个人模板和公共模板,勾画更加快捷和规范
三维重建
支持三维重建线条模式和面绘制模式,可进行透明度调节
典型界面




非常抱歉,您只有购买软件后才能查看完整软件教程!