仅供临床科研使用
CT肺结核辅助诊断系统 了解更多
销售价格: 面议
商品编号: AI-051-1488
软件语言: 中文
器械分类: II
生产厂家: 深圳市智影医疗科技有限公司
公司网址: https://www.zying.com.cn/index.html
认证信息: CFDA
系统要求: Windows
交付方式: 下载安装
  • 软件概览
  • 推荐配置
  • 典型病例
  • 软件教程
  • 临床文献
  • 用户评价
  • 产品彩页

软件概览

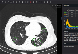
CT肺结核辅助诊断系统

系统可实现自动检测和定位肺结核病灶,区分肺结核的种类,直观展示病灶参数,并自动给出AI所见结果,根据权威指南提供临床所需的报告模板。


推荐配置


典型病例


软件教程


临床文献


用户评价


产品彩页


请完善个人信息

非常抱歉,您只有购买软件后才能查看完整软件教程!

看了此商品的会员还在看
测试版
版本号 软件大小 下载地址
01 1m 下载
正式版
版本号 软件大小 下载地址
01 1m 下载