Simfini-TUMOR
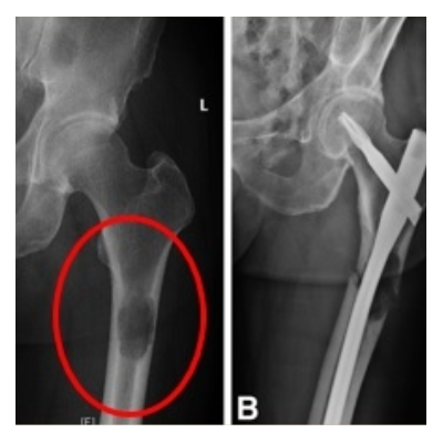
Long bone skeletal metastases are common in theUS, with more than 280,000 new cases every year.Clinical dilemma: whether the metastatic tumor hasweakened the bone
sufficiently such that apathological fracture is imminent. To answer thatquestion, physicians rely primarily on MirelsCriterion which has been criticized by MDsregarding its
ability to predict fractures. Simfini-TUMOR provides a reliable risk of fractureassessment to address this clinical dilemma. Hence.fewer unnecessary surgeries need be performed.

非常抱歉,您只有购买软件后才能查看完整软件教程!