ACchest
CE & FDA
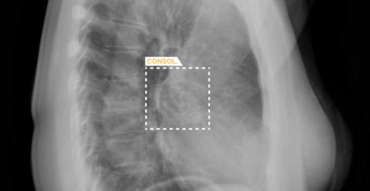
AZchest is clinically validated Al radiologysolution trusted by top institutions worldwide.It automatically categorizes, detects andreports the main cardiac and lung
abnormalitieson X-rays.
Book a Demo
Pathologies Detected
Consolidation Pneumothorax Pulmonary edema
Nodules Pleural effusion Rib fracture Cardiomegaly




非常抱歉,您只有购买软件后才能查看完整软件教程!
